Loro Parque has confirmed that they expect the orca Morgan to give birth any time after the summer, according to estimates by the Parque’s veterinarians. Morgan, who arrived at the zoological park in Puerto de la Cruz in 2011 after being found dying off the coast of the Wadden Sea in the Netherlands, is now in the final stages of her pregnancy, which will culminate in the arrival of a single calf.
This gestation, as well as the birth and upbringing of the new animal, is a challenge for the experts at Loro Parque, confirmed Dr. Javier Almunia, Director of Loro Parque Fundación. “All the experience there is, worldwide, on orca births is reduced to about 30 births, but never, in a single case, has it been with a deaf orca,” he says. “For us, it’s a totally different situation. We have had deliveries of other orcas, but in this case we have to be much more prepared for what may happen, because the information we have is minimal,” he added.
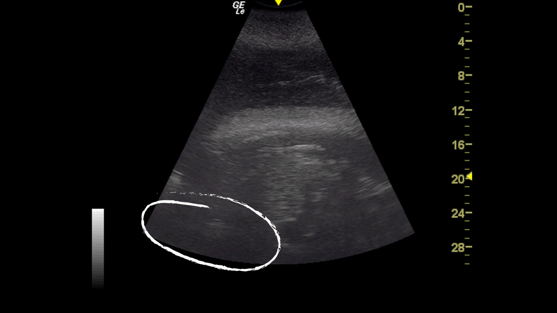
The care and standard medical training routines of Loro Parque’s orcas have been intensified with Morgan during the months of gestation, which has allowed for an exhaustive monitoring of the foetus and continuous observation of its evolution. “We do ultrasounds almost twice a week with a high frequency system that has no effect on the foetus and causes no discomfort,” explained Dr. Almunia.
These ultrasounds have allowed veterinarians to see that the foetus is very well positioned, that its heart is beating, and that everything is going as expected, so the Parque staff is now getting prepared to know when the exact time of birth will arrive. “And we are also getting everything organised so that, in the event that anything goes wrong, we can have everything ready to intervene on the spot,” said the Fundación’s Director. This is particularly relevant because, in the wild, 50 per cent of orca calves die before their first birthday, and, apart from that, one must take in consideration the handicap of Morgan’s deafness.
As this is the first time that this circumstance has occurred in an orca under human care, experts face some doubts about Morgan’s possible reaction to the birth of her calf, as she may not be able to care for it herself. That is why it is necessary to have a formula ready to feed the new specimen with ‘mother’s milk’, as well as to try to pump milk from Morgan in order to get all the antibodies it will need, especially during its first year of life.
The team of experts at Loro Parque has been working over the past few months on the preparation of a multitude of materials for the development of the calf after birth, such as an application that allows them to check whether the baby is breathing correctly after its birth or whether it’s nursing from the correct side and with the optimum frequency so that the trainers and vets will know if it’s necessary to intervene.
Thus, thanks to the knowledge and experience of its team of experts, Loro Parque has everything ready to welcome Morgan’s calf and to face the different situations that could arise from its birth.
Find more images from the ultrasounds here: https://www.facebook.com/loroparque/videos/10155724332058333/



